《Cell》:细胞外基质如何“牵动”线粒体?

导语
美国加州大学伯克利分校分子与细胞生物学系,霍华德休斯医学研究所。该研究团队长期聚焦细胞应激响应与衰老相关机制。本研究进一步拓展了 ECM 的功能边界 —— 突破 “结构支撑” 的传统认知,首次揭示 ECM 可作为 “应激传感器”,通过激活潜伏态 TGF-β 信号,直接调控线粒体分裂、代谢及免疫应答,建立了 “ECM-TGF-β- 线粒体” 跨细胞器通讯轴。团队通过人源成纤维细胞与线虫模型的交叉验证,证实该通路的进化保守性,为理解肿瘤微环境代谢重编程、体外 3D 模型功能优化提供了全新机制解释,也为靶向 ECM 或线粒体相关通路的免疫调控与疾病治疗提供了理论依据。长期以来,线粒体被视为主要响应细胞内信号的代谢中枢,而细胞外基质更多被理解为提供结构支撑和局部信号储存的背景环境。近期发表在 Cell 的一项研究提出,细胞外基质并非被动存在,其结构状态本身即可被细胞感知,并通过特定信号通路直接调控线粒体稳态与免疫应答。这项工作系统揭示了一条由细胞外基质重塑出发、连接线粒体功能与机体防御能力的分子机制。

关键技术方法亮点
该研究构建了一套从细胞外基质调控到整体生理验证的多层级技术体系。作者在人源成纤维细胞中通过 CRISPR-Cas9 基因编辑与过表达策略,精确调控透明质酸水解酶 TMEM2,从而以内源方式改变细胞外基质状态。线粒体功能通过长期活细胞生长监测、呼吸分析及多项代谢指标进行综合评估,线粒体结构则结合超分辨共聚焦成像与相关光电子显微技术解析。在机制层面,遗传敲除、药理抑制与转录组和报告基因分析交叉使用,逐步锁定关键信号通路。最终,借助线虫模型和病原体感染实验,从整体水平验证该机制的进化保守性和生理意义。

图1. TMEM2介导的ECM重塑导致线粒体功能改变 (Zhang et al., 2024)
背景介绍
细胞始终处于不断变化的微环境中。除了可溶性因子和膜受体介导的信号,细胞外基质作为包裹细胞的第一层结构,在感染、机械损伤和疾病进程中会发生显著改变。然而,这些变化如何被细胞识别,并进一步转化为细胞内功能调整,仍缺乏清晰认识。
另一方面,线粒体不仅承担能量代谢功能,还在应激感知、先天免疫和细胞命运调控中发挥重要作用。已有研究表明,线粒体可响应多种胞内应激信号,但是否能够直接响应细胞外基质层面的变化,一直缺乏直接证据。
在这一背景下,研究者以透明质酸这一广泛存在于细胞外基质中的关键成分为切入点,系统分析细胞外基质重塑如何影响线粒体稳态,并进一步探讨其在整体免疫防御中的功能意义。
详细解读
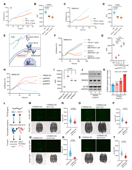
研究首先在人源成纤维细胞中调控 TMEM2 的表达水平,以改变细胞外透明质酸的完整性。结果发现,透明质酸降解增强后,细胞对多种线粒体应激条件表现出更高敏感性,而对内质网应激或转录、翻译抑制等非线粒体相关应激的反应并未明显改变。这一现象提示,细胞外基质状态与线粒体稳态之间存在较为特异的功能联系。
进一步的代谢分析显示,细胞外基质被重塑后,线粒体基础呼吸和最大呼吸能力下降,活性氧水平升高,ATP 水平轻度降低,但线粒体数量并未显著减少。这表明 ECM 重塑并非简单破坏线粒体,而是诱导其进入一种应激适应状态。
在结构层面,超分辨成像和电镜分析发现,线粒体由连续的管状网络转变为更碎片化的点状结构。这种变化并不符合线粒体自噬的典型特征,而更接近线粒体分裂增强后的稳态重构。同时,线粒体未折叠蛋白反应被激活,进一步支持线粒体处于可逆的应激调节状态。
在信号机制探索中,研究系统排除了整合素及多种已知透明质酸结合蛋白的直接参与,转而发现 TGF-β 信号在其中发挥核心作用。无论是外源性补充 TGF-β,还是通过透明质酸降解间接激活内源性 TGF-β,均可复制 ECM 重塑诱导的线粒体应激表型;而抑制 TGF-β 受体或下游 SMAD 转录因子,则能够显著缓解相关线粒体功能异常。进一步分析表明,透明质酸降解并不会显著改变 TGF-β 的总体表达量,而是促进其从细胞外基质中的潜伏状态被激活。

图2. TGF-b受体介导ECM和线粒体之间的沟通(Zhang et al., 2024)

图3. TMEM2通过TGF-b-SMAD信号通路调节线粒体稳态(Zhang et al., 2024)
在整体水平上,该通路在线虫中表现出高度保守性。ECM 重塑诱导的线粒体应激显著增强线虫对多种致病菌的抵抗能力,但并未明显改变基础寿命,提示其主要参与应激和免疫防御。分子层面分析显示,该过程伴随先天免疫相关基因的激活,并观察到线粒体 DNA 向胞质的适度释放,提示线粒体在免疫信号放大中发挥中介作用。

图4. ECM重塑导致C. elegans的线粒体功能改变(Zhang et al., 2024)

图5. TMEM2通过线粒体应激信号促进免疫力(Zhang et al., 2024)
对肿瘤微环境与体外模型研究的启发
肿瘤组织中细胞外基质长期处于持续重塑状态,透明质酸含量、分子量分布及降解速率在不同肿瘤类型和发展阶段中存在显著差异。该研究提示,这类 ECM 变化本身即可作为一种环境信号,通过激活 TGF-β 通路重塑线粒体稳态,而无需依赖细胞间直接接触或额外炎症刺激。这为理解肿瘤中常见的代谢重编程、氧化应激升高及免疫相关信号激活,提供了一条从 ECM 出发的机制解释路径。
对于 3D 体外模型研究而言,该工作进一步强调了 ECM 成分和状态的功能性意义。传统体外模型往往将 ECM 视为结构支架或力学参数调节工具,而该研究表明,ECM 的降解状态、分子完整性及其对潜伏信号因子的调控能力,本身即可深度影响线粒体功能和细胞应激反应。这意味着,在构建肿瘤类器官或 3D 打印模型时,ECM 的是否可被重塑以及是否能够动态释放信号,可能与其初始力学性质同等重要。
研究中揭示的 ECM–TGF-β–线粒体轴,为体外模型中解释免疫相关表型差异提供了新的切入点。在缺乏完整免疫系统的 3D 模型中,线粒体应激和代谢状态往往是免疫样信号激活的重要替代指标。该研究表明,单纯通过 ECM 状态调控,即可在无外源免疫细胞参与的情况下,诱导与先天免疫相关的分子反应,这对于理解肿瘤细胞内在免疫样特征、以及评估药物对代谢–免疫耦合通路的影响,具有现实参考价值。
关于赛箔生物
赛箔(上海)智能科技有限公司是一家专注于研发生物制造技术和组织工程产品的高新技术企业,成立于2021年2月。自主研发多种已经获得国家发明专利授权的生物3D打印技术和装备、生物材料、体外细胞和组织培养技术、组织处理和培养装置。基于核心技术开发多种器官组织模型和相应的检测评价服务,为基础研究、新药研发、精准医疗、再生医学等领域提供生物3D打印全产业链解决方案,实现了从设备到产品到服务的全面覆盖。
在肿瘤相关领域,赛箔与合作者共同研发基于生物3D打印技术构建的肿瘤微组织(PDT),涵盖十余个癌种,包括高发肿瘤、难治肿瘤、妇科肿瘤和儿童肿瘤,培养成功率超过了90%。通过近千例样本研究,证实PDT与患者组织具有高度一致的分子特征和药物敏感性,1-2周即可获得准确的药敏检测结果,为治疗赢取宝贵时间,并且可为新药研发企业提供药效评价、入组标准建立、适应症筛选等服务。在再生相关领域,赛箔已建立多种3D组织工程皮肤,包括表皮模型、全层皮肤模型、黑素皮肤模型等,并相应开发多种体外功效测试方法。

肺癌

宫颈癌

结直肠癌

卵巢癌

脑胶质瘤

神经母细胞瘤

黑色素皮肤模型

全层皮肤模型

表皮模型
